LUNG MASS BIOPSY, 45Y F
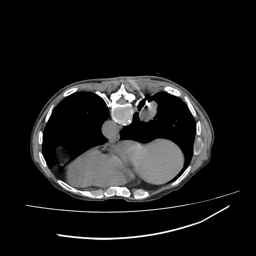
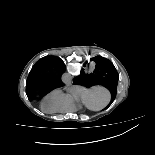
LUNG MASS BIOPSY, 70Y F
LUNG MASS BIOPSY, 70Y F
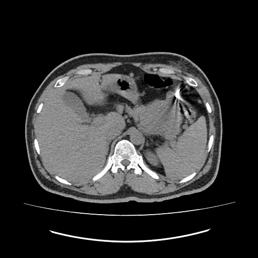
PANCRATIC BIOPSY, 34Y M